Results for "MGST1" | Abcam: antibodies, protei...
Tissue-specific expression of mGSTK1 and rGSTK1...
MGST1 Polyclonal Antibody (PA5-60845)
Association between MGST1 genotype and colorect...
MGST1 Polyclonal Antibody (PA5-101664)
MGST1 alleviates the oxidative stress of tropho...
MGST1 is a redox-sensitive repressor of ferropt...
MGST1 Gene - GeneCards | MGST1 Protein | MGST1 ...
Characterization of MGST1 overexpressing cell l...
MGST1 Monoclonal Antibody (14H2) (MA5-34942)
Anti-MGST1 抗体 [EPR7934] (ab131059) | アブカム
MGST1 mediated the inactivation of autophagy by...
MGST1 Expression Is Associated with Poor Progno...
The upregulation of ATG16L1 antagonized the inh...
Verification of WARS and MGST1. (A) The express...
What does MGST1 mean? - Definition of MGST1 - M...
Quantification of MGST1 in membranes from caveo...
Microsomal glutathione S‐transferase 1 (MGST1) ...
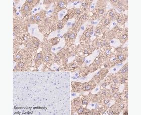
Tissue expression of MGST1 - Staining in skin -...
NEM modification of MGST1. Spectra show the 9 c...
MGST1重组抗体[EPR7934]_MGST1抗体(ab131059)| Abc...
High expression of the ferroptosis‐associated M...
MGST1 antibody (15906-1-AP) | Proteintech
Structural Organization of the Microsomal Gluta...
Immunohistochemical staining of MGST1 in (A, B)...
Anti-MGST1 抗体 [EPR7935] (ab129175) | アブカム